Diese ALIVE-Studie hat das Ziel, Kriterien zu erheben, welche die Entscheidung zur Operation einer undichten Aortenklappe (sogenannte Aortenklappeninsuffizienz) erleichtern sollen. Denn obwohl es sich um eine gut bekannte Erkrankung handelt, ist der Zeitpunkt, wann im Kindes-, Jugend- und jungen Erwachsenenalter operiert werden soll, nicht eindeutig geklärt.
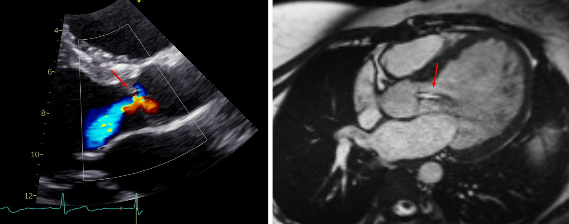
- Echokardiographie- (links) und MRT-Aufnahme (rechts) bei höhergradiger Aortenklappeninsuffizienz (Pfeil).
Eine unfunktionale Herzklappe ist nicht selten
Angeborene Erkrankungen der Klappe zur Hauptschlagader (auch Aortenklappe genannt) gehören zu den häufigeren Herzfehlern und müssen oftmals bereits im Kindesalter behandelt werden. Eine dauerhafte Undichtigkeit dieser Klappe ist in vielen Fällen Folge einer operativen Behandlung oder einer Herzkatheter-Behandlung einer zuvor verengten Aortenklappe. Die Aortenklappeninsuffizienz kann aber auch in Zusammenhang mit anderen Herzfehlern oder Erkrankungen auftreten. Seltener ist eine dauerhafte Aortenklappeninsuffizienz angeboren.
Als Folge dieser Erkrankung kommt es zu einer Belastung des Herzmuskels, da das Blut, welches aus der linken Herzkammer in den Körper geleitet werden soll, teilweise zurückfließt. Dieser Prozess wird als Volumenbelastung bezeichnet und führt zu einer Größenzunahme der linken Herzkammer.
Das Herz arbeitet unter erschwerten Bedingungen. Weitere Folgen können eine Verdickung und Funktionsstörung der linken Herzkammer sein.
Kaum Erfahrungen mit kleinen Herzen
Vorhandene Empfehlungen stützen sich weitestgehend auf Erfahrungen und Leitlinien der Erwachsenenkardiologie und sind nur bedingt auf jüngere Patienten übertragbar. Erschwerend kommt hinzu, dass viele Kinder, Jugendliche und junge Erwachsene trotz höhergradiger Aortenklappeninsuffizienz keine Beschwerden haben.
Im Rahmen dieser Studie möchten wir nun durch Auswertung von Herzultraschallbildern und Herz-MRT-Bildern aus zahlreichen deutschen Kinderherzzentren Kriterien erheben, die die Entscheidung zur Operation erleichtern sollen. Diese Kriterien sollen helfen, eine langfristig ungünstige Schädigung der linken Herzkammer bei jungen Patienten mit Aortenklappeninsuffizienz zu verhindern.


Spenden







He