Herzmuskelentzündung kann tödlich sein
MYKKE-Register für standardisierte Diagnosen
Die Herzmuskelentzündung (Myokarditis) ist bei zuvor gesunden Kindern eine Hauptursache für eine akute und schwere Herzschwäche. Reanimationen, Intensivmedizin, Herztransplantationen oder der Tod sind mögliche Folgen. Die Ursache einer Myokarditis ist meist ein viraler Infekt.
Weltweit existieren zurzeit keine einheitlichen Kriterien für die Diagnose der Myokarditis. Daher unterscheiden sich Diagnostik und Therapie von Herzzentrum zu Herzzentrum sehr stark. Zudem gibt es nur wenige Daten zur Häufigkeit oder Sterblichkeit an Herzmuskelentzündung. Die „Dunkelziffer“ ist hoch, Säuglinge sind besonders häufig betroffen.

v.l.n.r.: PD Dr. Messroghli, Prpf. Dr. Schubert und Dr. Seidel, Deutsches Herzzentrum Berlin

Vier Monate altes Herzkind mit akuter Myokarditis und Herzunterstützungssystem (LVAD, Berlin Heart®)
Wie wir helfen
Wir fördern die Etablierung einer einheitlichen Diagnostik bei Kindern und Jugendlichen mit dem Verdacht auf Myokarditis in Deutschland. Daher unterstützen wir das MYKKE-Register, das am Deutschen Herzzentrum Berlin geführt und stetig erweitert wird. Seit 2013 sammeln die Berliner Herzspezialisten in diesem Register Daten zu Diagnostik und Therapie bei Myokarditis im Kindes- und Jugendalter. So entsteht eine Forschungsplattform, die es ermöglicht, die Aspekte der Myokarditis zu systematisieren, um die Vorgehensweise in den Kinderherzzentren Deutschlands zu analysieren und Aussagen über die Krankheitsverläufe zu treffen.

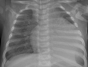
Röntgenbild von einem drei Monate alten, beatmeten Kind mit Myokarditis. Links ist das Herz massiv vergrößert

Altersverteilung bei Symptombeginn von 225 Patienten im Register
Zwei Teilprojekte
Mit der Multi-Center-Studie ergänzt kinderherzen in einem ersten Schritt die vorhandenen Daten der ersten 150 Patienten durch eine detaillierte Erhebung der Diagnostik, der Therapie und des Behandlungsergebnisses. In einem zweiten Schritt sollen Kriterien zur besseren Diagnose der Myokarditis entwickelt werden. Ziel ist ein standardisiertes Vorgehen.
Nur wenn wir die Daten vieler Herzkinder sammeln und auswerten, können wir grundlegende Diagnose- und Behandlungsstandards entwickeln. Helfen Sie uns dabei!
kinderherzen-Forschung

Kooperation: 24 deutsche Herzzentren beteiligen sich am MYKKE-Register
24 deutsche Herzzentren arbeiten zusammen
Im September 2013 rief die Abteilung für Angeborene Herzfehler und Kinderkardiologie des Deutschen Herzzentrums Berlin das MYKKE-Register ins Leben. Damals nahmen drei Herzzentren teil. Inzwischen sind es 24 Herzzentren und Universitätskliniken aus ganz Deutschland. Mehr als 225 Patienten wurden bisher eingeschlossen. Damit ist das MYKKE Register schon jetzt die größte Multi-Center-Studie über Patienten mit Myokarditis.


Spenden





